Get ready to shut yo’ mouth!









Mouth
Breather

Nose
Breather
Your child’s face and jaw development determines everything from proper airway volume to the position and alignment of their teeth—even their facial beauty!
Scientists have found that our modern lifestyles and processed diets have altered our gene expression, resulting in smaller jaws. This is a serious concern because it impacts our ability to breathe and sleep correctly, causing a multitude of other issues!
Our smaller jaws impact our airway development, which can lead to a wide variety of other symptoms and health issues.
Dentists can—and do!—play an essential role in caring for patients with certain sleep-related breathing disorders (SRBD), and they are well-positioned to identify patients at greater risk of SRBD. These disorders can be caused by many different things and are treated most successfully when dentists and medical professionals work together.



Up to
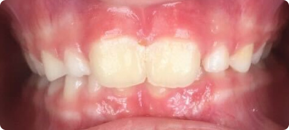
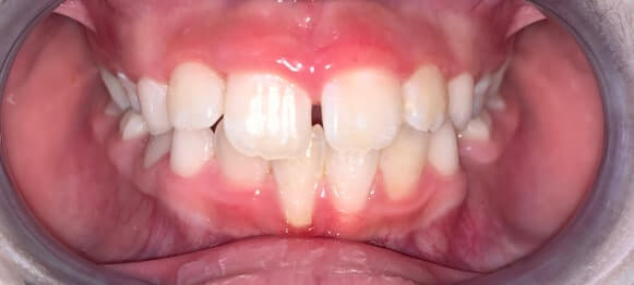
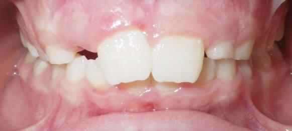
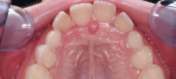
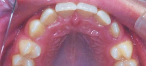
0A recent study found that up to 93% of kids have malocclusion (crooked teeth), which is a visual sign of the underdeveloped jaws that cause possible breathing issues.
In children, a dentist’s recognition of poor jaw or facial development (or other risk factors) early on may lead to a medical referral or intervention to treat and/or prevent SRBD. Because these issues are often related to smaller jaws and mouth breathing, it’s critical to train patients to shift to nasal breathing instead.
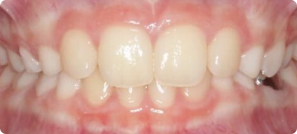
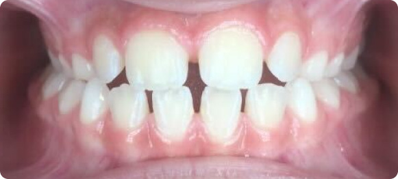
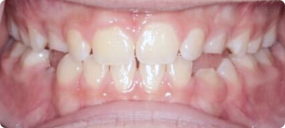
The Toothpillow System is a preventative, pre-orthodontic method that corrects and supports proper jaw development, promoting nasal breathing and preventing—even fixing—dozens of health problems down the road. It gets to the root causes of misaligned teeth, often without the need for braces or tooth extraction.
This treatment is most effective for children between the ages of 3 and 12, and involves wearing removable appliances inside the mouth for 1-2 hours during the day and overnight while sleeping. These appliances help guide natural growth and development, mitigating the detrimental effects of modern living on their mouths, jaws, and airways.
Discover the difference Toothpillow can make.
Is my child a candidate?By improving your child’s breathing and reducing interrupted sleep patterns, Toothpillow can possibly help your child get the proper rest they need to thrive in their daily lives
Studies have shown that better sleep and proper breathing leads to increased cognitive function, better focus, and improved behavior all-around!
By addressing the very foundations of your child’s oral health, Toothpillow promotes their happiness, too… because an oxygenated, well-rested child is a happy child!
The process

We will walk you through step-by-step. Answer a few questions, snap a few pics, take a few measurements and you’re all set.
Is my child a candidate?
A Toothpillow affiliated, state-licensed dentist reviews your photos and medical and dental history before approving your custom treatment plan.
Is my child a candidate?Your doctor and staff will create a customized treatment plan for you and ship your Toothpillow guides directly to your home.
Is my child a candidate?
Airway dentists concentrate on the relationship between the structure of the mouth and respiratory function. They examine the presence of mouth breathing during sleep as a potential indication of sleep-disordered breathing

Myofunctional therapists use a variety of techniques, including exercises and behavioral modification, to help patients improve the function of the muscles of the face, mouth, and throat, and address any related health issues.Learn more

Our Clinical Care Advocates are a circle of trained moms, also with children in treatment, ready to offer unwavering support to parents. We've personally witnessed the remarkable transformations in our own children's lives, and want to help those who aspire to see positive, healthy changes in their kids too.












“We’ve been in treatment now for 6 months and so far she is sleeping through the night (with no bathroom visits or night terrors) and had no cavities at her last dentist visit! I know it’s helping so far and am excited to see more as we get further along in treatment.”
Toothpillow Parent“I have seen night and day changes in my 10 year old. He is more attentive and less reactive, more energy, and now doing things on his own without me constantly hounding him about his responsibilities. Since starting, I’ve even noticed his grades at school have improved! Being able sleep better at night has really helped him.”
Toothpillow Parent“Overall its been really cool to see he’s had a lot less outbursts, and when he falls asleep he stays asleep. He’s able to calm himself down a lot easier and can self-regulate more. The ADHD-type symptoms have decreased significantly! It’s really neat to see his brain is changing. He also now has a beautiful smile!”
Toothpillow Parent“We are about 7 weeks in. My 10 year old son has been SO good with compliance because he is VERY motivated to be able to stay dry at night. He’s been able to keep the Toothpillow in all night consistently for a couple of weeks now, which felt like a big win. We haven’t seen a difference yet in the night wetting, but WOW am I noticing changes in his mouth/teeth!! I just want to share!”
Toothpillow Parent“We are 6 months in and I am SO happy with the progress of both kids teeth! Kapri had a bilateral cross bite that has been corrected. Myles was a thumb suckers and his teeth showed that he was. Now you can’t tell he sucked his thumb. Both of the kids teeth are so beautiful! We are SOO grateful to be apart of the Toothpillow community!”
Toothpillow Parent“I’m so so happy and impressed with my daughter’s 8 month progress! We definitely need to be better about the myo exercises and we really just started wearing more regularly during the day but I am super happy. I’m hoping to see some more forward jaw growth but I think that will come implementing the exercises and more day wear!”
Toothpillow ParentWill it help with my crowded/crooked teeth?
How long does treatment last?
Is Toothpillow covered by insurance?
How can I refer people to Toothpillow?
What qualifies your doctors to treat my child?
Our Dental licenses are current and they also carry advanced training in the field of Airway and Dental Sleep Medicine. This includes diplomats from the American Academy of Dental Sleep Medicine, and the American Sleep and Breathing Association amongst other accolades. They have treated thousands of kiddos already in this exact airway therapy.
How often does my child wear it?
What is the Toothpillow appliance made out of?
What are some benefits of nasal breathing?

DIVE DEEPER

Refer friends and family
Take the free online assessment to see if your child is a candidate and give your kids a better future.
Is my child a candidate?